Tu sonrisa, nuestra especialidad

Odontología de alta calidad con tecnología avanzada, atención cercana y precios que te harán sonreír.

500+
PACIENTES FELICES
5.0
CALIFICACIÓN
15+
AÑOS EXPERIENCIA

¿Por qué elegir Natural Smile Odontología para tu tratamiento en Bogotá?

Combinamos excelencia odontológica con la belleza y hospitalidad de los colombianos

Tecnología de Punta

Tecnología de Punta

Equipos de última generación para tratamientos precisos y resultados predecibles que garantizan tu satisfacción.

Experiencia Turística Integral

Experiencia Turística Integral

Planes que incluyen tratamiento dental, alojamiento y tours por los destinos más hermosos de Bogotá.

Garantía de Resultados

Garantía de Resultados

Nos comprometemos con tu satisfacción ofreciendo garantías en nuestros tratamientos dentales.

Profesionales Expertos

Profesionales Expertos

Equipo de odontólogos altamente capacitados con formación internacional y experiencia comprobada.

Precios Competitivos

Precios Competitivos

Precios claros y justos, sin sorpresas ni costos ocultos. Y los pacientes extranjeros ahorran mientras disfrutan de una experiencia única en Bogotá, Colombia.

Atención en Inglés

Atención en Inglés para pacientes extranjeros

Personal capacitado en inglés para brindar confianza y comodidad a nuestros pacientes internacionales.

Nuestro Equipo de Especialistas

Profesionales altamente capacitados con excelente formación y experiencia comprobada

Dr. Sebastián Rivera

Dr. Sebastián Rivera

Odontólogo – Rehabilitador Oral

Odontólogo y rehabilitador oral con más de 15 años de experiencia en la atención integral de pacientes. Cuenta con una maestría en Estética Dental e Implantología Oral, además de una amplia trayectoria como docente universitario, formando nuevas generaciones de profesionales de la salud oral.

Especialidades:

  • Estética dental avanzada
  • Rehabilitación oral integral
  • Implantología oral
  • Docencia universitaria en odontología
Dra. Diana Carolina Salazar

Dra. Diana Carolina Salazar

Odontóloga – Especialista en Ortodoncia

Odontóloga bilingüe egresada de la Pontificia Universidad Javeriana, con especialización en Ortodoncia. Cuenta con experiencia en el manejo de casos en adultos, niños, pacientes con labio y paladar hendido y anomalías dentofaciales.

Especialidades:

  • Ortodoncia en adultos y niños
  • Alineadores invisibles (Invisalign)
  • Labio y paladar hendido
  • Manejo de anomalías dentofaciales
  • Diagnóstico y planeación digital

Servicios Odontológicos Especializados en Bogotá

Tratamientos dentales de vanguardia con tecnología de última generación en Chapinero, Bogotá

Implantes Dentales

Implantes Dentales

Recupera la funcionalidad y estética natural mediante el reemplazo de dientes ausentes con implantes de titanio de la más alta calidad.

  • Alta biocompatibilidad
  • Pronta recuperación
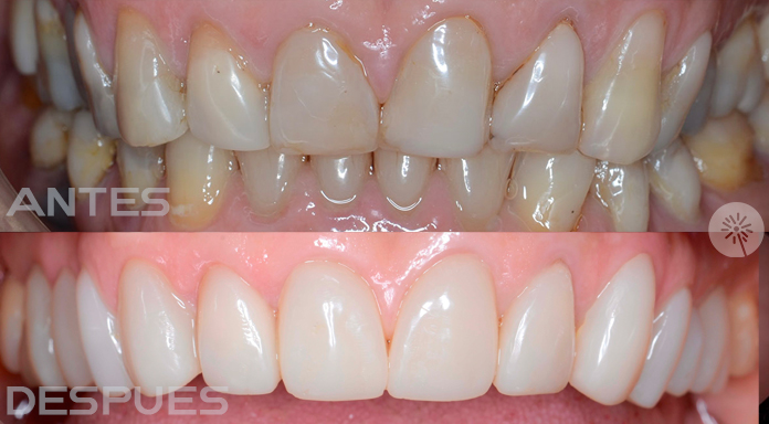
Diseño de Sonrisa

Diseño de Sonrisa

Transforma completamente tu sonrisa con las técnicas más avanzadas y materiales de alta gama. Utilizamos tecnología digital 3D para resultados predecibles y naturales.

  • Materiales de alta gama
  • Técnicas avanzadas
  • Simulación 3D
  • Diseño personalizado
Aclaramiento Dental

Aclaramiento Dental

Renueva tu sonrisa hasta tres tonos con técnicas seguras y efectivas.

  • Resultados inmediatos
  • Técnica profesional
  • Baja sensibilidad
Ortodoncia

Ortodoncia

Logra una sonrisa armónica y funcional con brackets cerámicos o alineadores dentales.

  • Alta estética
  • Seguimiento digital
  • Resultados garantizados
Rehabilitación Oral

Rehabilitación Oral

Recupera tu sonrisa y salud oral mediante tratamientos restaurativos e integrales.

  • Tecnología 3D
  • Materiales de última generación
  • Resultados garantizados
Odontología Preventiva

Odontología Preventiva

Cuida tu salud oral con limpiezas profesionales y tratamientos preventivos.

  • Fase higiénica
  • Detección temprana de caries
  • Fluorización

Lo que dicen nuestros pacientes

Reseñas reales de pacientes satisfechos con nuestros tratamientos

Ver todas nuestras reseñas en Google

"Excelente atención y profesionalismo. Los doctores son muy amables y explican todo el proceso. Mi sonrisa quedó perfecta, súper recomendado."

María González Hace 2 semanas

"La tecnología que manejan es increíble. Me hicieron un diseño de sonrisa espectacular. El consultorio es muy moderno y limpio."

Carlos Rodríguez Hace 1 mes

"Desde la primera consulta me sentí en confianza. Los precios son muy justos para la calidad que ofrecen. Mi tratamiento de ortodoncia fue un éxito."

Ana Martínez Hace 3 semanas

"Visité para una limpieza y consulta. La Dra. Diana Salazar habla inglés muy bien y es muy competente. Pidió una segunda opinión de un colega cirujano y ambos revisaron las radiografías recomendadas."

Dr. Matthew J Muir Hace 6 meses

Contáctanos

¿Tienes alguna pregunta o quieres agendar una consulta? Completa el formulario y nos pondremos en contacto contigo lo antes posible.

Envíanos un mensaje

Información de contacto

Dirección

Cl 93b #17-42 consultorio 206
Chapinero, Bogotá, Cundinamarca

Teléfono

+57 315 5185727

Email

Nsmileodontologia@gmail.com

Horarios

Lun - Vie: 8:00 - 18:00
Sáb: 8:00 - 14:00